切换至 "中华医学电子期刊资源库"

中华疝和腹壁外科杂志(电子版) ›› 2026, Vol. 20 ›› Issue (02) : 238 -240. doi: 10.3877/cma.j.issn.1674-392X.2026.02.020

临床病例分析

腹腔镜食管裂孔疝术后并发食管胸膜腔瘘一例分析
张皓程, 陈明豪, 刘宾, 万方鑫, 李宝玉()   
  1. 300211 天津医科大学第二医院胃肠外科
  • 收稿日期:2025-02-28 出版日期:2026-04-18
  • 通信作者: 李宝玉

Esophagopleural fistula after laparoscopic hiatal hernia repair: A case report and analysis

Haocheng Zhang, Minghao Chen, Bin Liu, Fangxin Wan, Baoyu Li()   

  1. Department of Gastrointestinal Surgery, The Second Hospital of Tianjin Medical University, Tianjin 300211, China
  • Received:2025-02-28 Published:2026-04-18
  • Corresponding author: Baoyu Li
引用本文:

张皓程, 陈明豪, 刘宾, 万方鑫, 李宝玉. 腹腔镜食管裂孔疝术后并发食管胸膜腔瘘一例分析[J/OL]. 中华疝和腹壁外科杂志(电子版), 2026, 20(02): 238-240.

Haocheng Zhang, Minghao Chen, Bin Liu, Fangxin Wan, Baoyu Li. Esophagopleural fistula after laparoscopic hiatal hernia repair: A case report and analysis[J/OL]. Chinese Journal of Hernia and Abdominal Wall Surgery(Electronic Edition), 2026, 20(02): 238-240.

腹腔镜食管裂孔疝修补术后并发食管胸膜腔瘘(EPF)临床罕见,早期诊断困难,病死率高。本文报道1例76岁女性患者行腹腔镜食管裂孔疝修补+Nissen胃底折叠术后发生EPF的诊治过程,并结合文献分析其病因、诊断及治疗策略。本例提示,术后早期若出现高热、呼吸困难等症状,应高度警惕该并发症,及时行胸腔引流或口服造影剂CT检查以明确诊断。综合保守治疗(禁食、胃肠减压、胸腔引流、抗感染及营养支持)可为瘘口愈合创造条件,是有效的治疗手段。

Esophagopleural fistula (EPF) following laparoscopic hiatal hernia repair is a rare clinical complication, characterized by difficulty in early diagnosis and a high mortality rate. This article reports the diagnostic and therapeutic course of a 76-year-old female patient who developed EPF after undergoing laparoscopic hiatal hernia repair combined with Nissen fundoplication. The etiology, diagnosis, and management strategies are further analyzed in conjunction with the existing literature. This case suggests that early postoperative symptoms such as high fever and dyspnea should raise a high index of suspicion for this complication. Prompt diagnostic evaluation, including thoracic drainage or oral contrast-enhanced computed tomography, is essential for establishing the diagnosis. Comprehensive conservative management—including fasting, gastrointestinal decompression, thoracic drainage, anti-infective therapy, and nutritional support—can facilitate fistula healing and represents an effective treatment approach.

图1 手术前胃镜和CT检查 1A 术前胃镜检查可见食管裂孔疝、反流性食管炎;1B 入院时CT检查示食管裂孔疝(胃部分疝入胸腔)
图2 腹腔镜下食管裂孔疝修补术+Nissen胃底折叠术(360°包绕)+腹腔引流术术中重要操作步骤图 2A 腹腔镜探查可见食管裂孔疝;2B 缝合膈肌脚;2C 放置补片进行疝修补;2D Niseen折叠
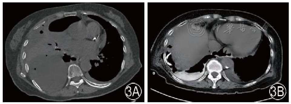
图3 术后复查CT 3A 腹腔镜食管裂孔疝术后第7天CT检查,见右侧胸腔积液较之前的影像明显增多,并伴有气体密度,同时可见相邻肺组织的明显压迫。膈肌区域出现气体和液体积聚,不能排除食管下段瘘的可能。3B 口服造影剂后CT检查(术后第8天)示食管下段存在瘘管,并且对比剂渗漏进入右侧胸腔
图4 食管裂孔疝术后21 d食管造影 食管造影可见口服造影剂通过顺利,未见明显造影剂外溢。贲门开放正常。胃腔可见造影剂充盈
图5 术后胃镜及出院前CT检查 5A 术后胃镜检查(第21天),显示食管裂孔关闭,胃底包绕食管良好,未见瘘口;5B 出院前CT检查示瘘口闭合,胸腔积液吸收,肺部炎症明显减轻
[1]
Siegal SR, Dolan JP, Hunter JG. Modern diagnosis and treatment of hiatal hernias[J]. Langenbecks Arch Surg, 2017, 402(8): 1145-1151.
[2]
Dean C, Etienne D, Carpentier B, et al. Hiatal hernias[J]. Surg Radiol Anat, 2012, 34(4): 291-299.
[3]
Korwar V, Adjepong S, Pattar J, et al. Biological Mesh Repair of Paraesophageal Hernia: An Analysis of Our Outcomes[J]. J Laparoendosc Adv Surg Tech A, 2019, 29(11): 1446-1450.
[4]
Richter JE. Gastroesophageal Reflux Disease Treatment: Side Effects and Complications of Fundoplication[J]. Clin Gastroenterol Hepatol, 2013, 11(5): 465-471.
[5]
Liu PS, Levine MS, Torigian DA. Esophagopleural Fistula Secondary to Esophageal Wall Ballooning and Thinning After Pneumonectomy: Findings on Chest CT and Esophagography[J]. AJR Am J Roentgenol, 2006, 186(6): 1627-1629.
[6]
Shin JH, Song HY, Ko GY, et al. Esophagorespiratory Fistula: Long-term Results of Palliative Treatment with Covered Expandable Metallic Stents in 61 Patients[J]. Radiology, 2004, 232(1): 252-259.
[7]
Desantis M, Ahmed M, Davalath D, et al. S3348 A Case of Esophagopleural Fistula Complicated by Recurrent Pleural Effusions [J]. Am J Gastroenterol, 2024, 119(10S): S2239-S2239.
[8]
凯依赛尔·麦麦提, 麦麦提艾力·麦麦提明, 克力木·阿不都热依木. 腹腔镜食管裂孔疝修补术后并发吞咽困难的诊治研究进展[J]. 腹腔镜外科杂志, 2024, 29(4): 308-311.
[9]
Aggarwal D, Mohapatra P, Malhotra B. Acquired bronchoesophageal fistula[J]. Lung India, 2009, 26(1): 24-25.
[10]
杨清兰, 郭庆昕, 饶华春, 等. 胸腔积液检出复层鳞状上皮细胞提示食管破裂2例报道并文献复习[J]. 检验医学与临床, 2024, 21(4): 564-567.
[11]
Lu H, Li T, Xia Y, et al. Management of an Esophago-pleural Fistula after Emergent Endoscopic Variceal Injectional Sclerotherapy: A Case Report And Literature Review[J]. Intern Med, 2024, 63(7): 937-941.
[12]
Kim DK, Chong Y, Baek J, et al. Non-surgical resolution of a delayed esophagopleural fistula caused by tuberculous mediastinal lymphadenitis: Diagnostic challenges and therapeutic success[J]. Diagn Microbiol Infect Dis, 2025, 112(4): 116834.
[1] 张颖, 赵筱卓, 程琳, 王艺雯, 王成, 杜伟力, 沈余明, 陈辉. 采用游离皮瓣修复胫骨远端骨外露创面的临床疗效及影响因素分析[J/OL]. 中华损伤与修复杂志(电子版), 2026, 21(01): 20-27.
[2] 李玮璇, 杜峻峰, 李世拥. 我国腹腔镜胃癌根治术主要并发症与处理[J/OL]. 中华普外科手术学杂志(电子版), 2026, 20(02): 111-114.
[3] 樊伟伟, 许怀利, 杨喜佳. 中间入路与左侧前入路在中老年进展期胃癌腹腔镜根治术中的应用对比[J/OL]. 中华普外科手术学杂志(电子版), 2026, 20(02): 117-120.
[4] 汝干, 翟春涛, 田昳程, 陈正荣. 腹腔镜下不同手术方式治疗cT1N0M0期胃癌的临床比较[J/OL]. 中华普外科手术学杂志(电子版), 2026, 20(02): 134-137.
[5] 宋志岗, 刘帅, 李颖, 董华兴, 连彦军. 不同入路ISR术用于治疗低位直肠癌患者对围手术期指标及并发症的影响[J/OL]. 中华普外科手术学杂志(电子版), 2026, 20(02): 150-153.
[6] 霍颖钊, 刘创明, 梁任. 肾上腺术后肾上腺危象诊疗分析[J/OL]. 中华腔镜泌尿外科杂志(电子版), 2026, 20(01): 84-88.
[7] 王书翰, 任振, 刘虎, 吴昊, 潘晨, 吴立胜. 腹腔镜Sugarbaker技术修补造口旁疝关键细节优化及近远期并发症处理分析[J/OL]. 中华疝和腹壁外科杂志(电子版), 2026, 20(02): 142-148.
[8] 张迪, 王素美, 陈阳, 熊霞鹂, 梁兵, 白雁飞, 郑雪云, 李华. 老年女性盆腔器官脱垂手术患者合并症分布及多学科诊疗围手术期管理效果分析[J/OL]. 中华疝和腹壁外科杂志(电子版), 2026, 20(02): 206-212.
[9] 赵景, 何丹玲, 洪生杰, 张广权, 何函樨. 肝癌靶向与免疫治疗相关皮肤并发症的防治研究[J/OL]. 中华肝脏外科手术学电子杂志, 2026, 15(02): 266-270.
[10] 王小振, 陈灿辉, 唐善华, 代浩嘉, 丰扬舸, 王恺, 李清平, 李川江. 基于不同机器学习技术构建肝移植术后早期严重并发症预测模型和效能比较[J/OL]. 中华肝脏外科手术学电子杂志, 2026, 15(02): 197-204.
[11] 王晓伟, 杨红梅, 孙天胜, 刘智, 刘川, 高杰. 髓内钉治疗老年股骨转子间骨折术后内固定相关并发症预测模型建立与验证[J/OL]. 中华老年骨科与康复电子杂志, 2026, 12(01): 38-46.
[12] 单子凤, 罗峪梅, 郭慧丽. 成人上消化道尖锐异物内镜下取出术的并发症发生率及危险因素[J/OL]. 中华消化病与影像杂志(电子版), 2026, 16(02): 162-166.
[13] 付以琳, 丁文成. 妊娠合并子宫腺肌症的妊娠结局[J/OL]. 中华产科急救电子杂志, 2026, 15(01): 28-32.
[14] 临床多学科共识专家小组. 骨盆骨折现代救治专家共识:从现场处理到康复管理(2025)[J/OL]. 中华诊断学电子杂志, 2026, 14(01): 1-16.
[15] 苏克敏, 孙静, 杨烁, 李艳英, 张梅, 刘福朋. 皮质醇水平与节律在2型糖尿病及其并发症中的研究进展[J/OL]. 中华诊断学电子杂志, 2026, 14(01): 66-70.
阅读次数
全文


摘要


AI


AI小编
你好!我是《中华医学电子期刊资源库》AI小编,有什么可以帮您的吗?