切换至 "中华医学电子期刊资源库"

中华疝和腹壁外科杂志(电子版) ›› 2026, Vol. 20 ›› Issue (01) : 15 -18. doi: 10.3877/cma.j.issn.1674-392X.2026.01.003

论著

腹壁型侵袭性纤维瘤病的超声特征
孔博1, 张璟1,(), 于双妮2, 孝梦甦1, 齐振红1, 吕珂1,()   
  1. 1100730 中国医学科学院 北京协和医学院 北京协和医院超声医学科
    2100730 中国医学科学院 北京协和医学院 北京协和医院病理科
  • 收稿日期:2025-12-28 出版日期:2026-02-18
  • 通信作者: 张璟, 吕珂
  • 基金资助:
    四大慢病国家科技重大专项(2025ZD0552400,2025ZD0552407); 北京市自然科学基金(4262001); 中国医学科学院医学与健康科技创新工程项目(2023-I2M-C&T-A-005)

Ultrasonographic characteristics of aggressive fibromatosis of the abdominal wall

Bo Kong1, Jing Zhang1,(), Shuangni Yu2, Mengsu Xiao1, Zhenhong Qi1, Ke Lyu1,()   

  1. 1Department of Ultrasound, Peking Union Medical College Hospital, Peking Union Medical College, Chinese Academy of Medical Sciences, Beijing 100730, China
    2Department of Pathology, Peking Union Medical College Hospital, Peking Union Medical College, Chinese Academy of Medical Sciences, Beijing 100730, China
  • Received:2025-12-28 Published:2026-02-18
  • Corresponding author: Jing Zhang, Ke Lyu
引用本文:

孔博, 张璟, 于双妮, 孝梦甦, 齐振红, 吕珂. 腹壁型侵袭性纤维瘤病的超声特征[J/OL]. 中华疝和腹壁外科杂志(电子版), 2026, 20(01): 15-18.

Bo Kong, Jing Zhang, Shuangni Yu, Mengsu Xiao, Zhenhong Qi, Ke Lyu. Ultrasonographic characteristics of aggressive fibromatosis of the abdominal wall[J/OL]. Chinese Journal of Hernia and Abdominal Wall Surgery(Electronic Edition), 2026, 20(01): 15-18.

目的

总结腹壁型侵袭性纤维瘤病的超声图像与临床特征,提高临床及超声医师对该疾病的认识。

方法

回顾性分析2018年1月至2025年11月于北京协和医院就诊并经病理确诊为腹壁型侵袭性纤维瘤病的10例患者的超声图像,总结超声图像特征。

结果

10例腹壁侵袭性纤维瘤病患者年龄29~64岁,中位年龄34.5岁;女性患者9例,男性患者1例。10例患者均为单发病灶,且均发生于腹壁肌层。超声表现:低回声为主(10/10例,100%),沿肌层平行生长(10/10例,100%),沿肌层水平方向浸润性生长(7/10例,70%),在垂直于肌层的方向上病灶边界清晰(10/10例,100%),内部回声不均匀(9/10例,90%),内部未见钙化及液性暗区(10/10例,100%)。

结论

腹壁型侵袭性纤维瘤病在超声图像上有一定的特征性表现,超声医师应结合临床表现及超声特征与其他腹壁占位加以鉴别。

Objective

To summarize the ultrasound images and clinical features of aggressive fibromatosis of the abdominal wall, and to improve the understanding of the disease by clinicians and sonographers.

Methods

The ultrasound images of 10 patients with aggressive fibromatosis of the abdominal wall diagnosed by pathology in Peking Union Medical College Hospital from January 2018 to November 2025 were retrospectively analyzed, and the characteristics of ultrasound images were summarized.

Results

The ages of the 10 patients with aggressive fibromatosis of the abdominal wall ranged from 29 to 64 years (median age 34.5 years), including 9 female patients and 1 male patient. All 10 patients had single lesions and all occurred in the muscular layer of the abdominal wall. The ultrasound manifestations were mainly hypoechoic (10/10 cases, 100%), parallel growth along the muscular layer (10/10 cases, 100%), infiltrative growth along the horizontal direction of the muscular layer (7/10 cases, 70%), clear lesion boundaries in the direction perpendicular to the muscular layer (10/10 cases, 100%), and uneven internal echoes (9/10 cases, 90%). No calcification or liquid dark areas were observed internally (10/10 cases, 100%).

Conclusions

Aggressive fibromatosis of the abdominal wall has certain characteristics on ultrasound images. Sonographers should combine clinical manifestations and ultrasound characteristics to distinguish it from other masses of the abdominal wall.

表1 10例腹壁型侵袭性纤维瘤病的临床信息及超声图像特征
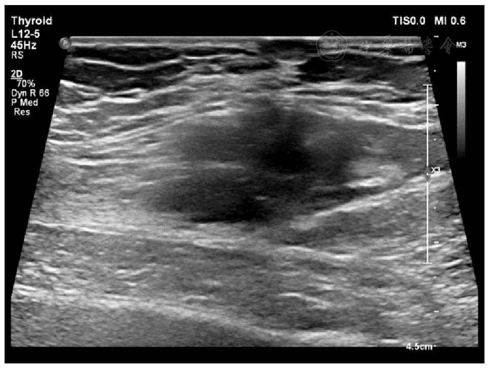
图1 腹壁型侵袭性纤维瘤病长轴的二维灰阶超声图像注:病灶长轴与肌纤维走向一致,浸润方向沿肌层水平方向,垂直于肌层方向的病灶边界清晰(探头频率5~12 MHz)。
图2 腹壁型侵袭性纤维瘤病的"梳子征"表现注:病灶内部回声不均,呈高、等、低回声混杂相间的表现(箭头所示,长轴的二维灰阶超声图像,探头频率5~12 MHz)。
[1]
何珂, 王东林, 廖卫, 等. 侵袭性纤维瘤病的临床特征及超声表现分析[J]. 肿瘤影像学, 2023, 32(1): 59-63.
[2]
Yang S, Wang X, Jiang H, et al. Effective treatment of aggressive fibromatosis with celecoxib guided by genetic testing[J]. Cancer Biol Ther, 2017, 18(10): 757-760.
[3]
Wirth L, Klein A, Baur-Melnyk A, et al. Desmoid Tumours of the extremity and trunk. A retrospective study of 44 patients[J]. BMC Musculoskelet Disord, 2018, 19(1): 2.
[4]
江颖; 黄品同. 二维超声及超声造影在韧带样型纤维瘤病诊断中的应用进展[J]. 影像研究与医学应用, 2025, 9(14): 14-17.
[5]
Imagami T, Togawa T, Oe Y, et al. A desmoid-type fibromatosis in the retroperitoneum of the gastro-pancreatic region that was resected with a distal pancreatomy: a case report[J]. Radiol Case Rep, 2022, 17(7): 2573-2578.
[6]
孙丹, 张璟, 武玺宁, 等. 乳腺韧带样型纤维瘤病的超声表现与临床特征[J]. 中国超声医学杂志, 2024, 40(4): 474-477.
[7]
孟庆楠, 崔正军, 陈争光, 等. 体表软组织内侵袭性纤维瘤病的超声诊断价值[J]. 中国超声医学杂志, 2022, 38(3): 350-353.
[8]
Van der Veer WM, Hamburg SM, de Gast A, et al. Recurrence of plantar fibromatosis after plantar fasciectomy: single-center long-term results[J]. Plast Reconstr Surg, 2008, 122(2): 486-491.
[9]
Adler DD, Carson PL, Rubin JM, et al. Doppler ultrasound color flow imaging in the study of breast cancer: preliminary findings[J]. Ultrasound Med Biol, 1990, 16(6): 553-559.
[10]
杨吉龙, 王坚, 周晓燕, 等. 韧带样型纤维瘤病的临床病理学及遗传学研究[J]. 中华病理学杂志, 2006, 35(3): 145-150.
[11]
Mangla A, Agarwal N, Schwartz G. Desmoid Tumors: Current Perspective and Treatment[J]. Curr Treat Options Oncol, 2024, 25(2): 161-175.
[12]
韩洁, 王勇, 胡志广, 等. 腹内型韧带样纤维瘤病的临床特征与声像图分析[J]. 中国超声医学杂志, 2022, 38(10): 1132-1134.
[13]
Schiessling S, Kihm M, Ganschow P, et al. Desmoid tumour biology in patients with familial adenomatous polyposis coli[J]. Br J Surg, 2013, 100(5): 694-703.
[14]
Savelli L, Manuzzi L, Di Donato N, et al. Endometriosis of the abdominal wall: ultrasonographic and Doppler characteristics[J]. Ultrasound Obstet Gynecol, 2012, 39(3): 336-340.
[15]
张磊, 孟洁, 韩友东, 等. 浅表软组织侵袭性纤维瘤病的超声诊断分析[J]. 中国临床医学影像杂志, 2021, 32(3): 199-202.
[16]
江丽; 葛群. 剖宫产术后腹壁切口子宫内膜异位症应用超声诊断的临床意义[J/OL]. 中华疝和腹壁外科杂志(电子版), 2020, 14(5): 536-538.
[17]
洪睿霞, 赵怀, 罗丽, 等. 侵袭性纤维瘤病的超声表现及误诊分析[J]. 中国介入影像与治疗学, 2017, 14(6): 374-377.
[18]
Cohen BE, Murthy NS, McKenzie GA. Ultrasonography of Plantar Fibromatosis: Updated Case Series, Review of the Literature, and a Novel Descriptive Appearance Termed the "Comb Sign" [J]. J Ultrasound Med, 2018, 37(11): 2725-2731.
[19]
宋致成, 杨董超, 顾岩. 三维可视化技术在腹壁肿瘤外科中的应用[J/OL]. 中华疝和腹壁外科杂志(电子版), 2019, 13(6): 506-510.
[20]
刘勋, 陈霰, 陈敬一, 等. 软组织内不同解剖层次结节性筋膜炎超声诊断价值对比分析[J]. 中国超声医学杂志, 2021, 37(3): 333-335.
[21]
Wang Y, Chen W, Wang T, et al. Intraneural nodular fasciitis in peripheral nerves: report of two cases and literature review[J]. BMC Musculoskelet Disord, 2025, 26(1): 685.
[22]
刘勋, 陈霰. 超声对不同软组织层次浅表神经鞘瘤诊断准确性的差异性分析[J]. 中国超声医学杂志, 2019, 35(7): 647-649.
[23]
李志强, 王艺桦, 付颖, 等. 超声在颈动脉体瘤及颈部神经鞘瘤定量分析与鉴别诊断中的价值[J]. 中国超声医学杂志, 2024, 40(3): 252-256.
[24]
张荣华, 石玉龙, 刘景磊, 等. 腹壁侵袭性纤维瘤病临床特征及手术疗效分析(附单中心80例报告)[J]. 中国实用外科杂志, 2025, 45(10): 1161-1167, 1173.
[25]
田伟伟, 马拓, 赵晓倩, 等. 侵袭性纤维瘤病CT及18F-FDG PET/CT影像特征分析[J]. 中国临床医学影像杂志, 2024, 35(12): 856-860.
[1] 郑祎, 詹维伟. 超声鉴别甲状腺峡部结节良恶性的研究[J/OL]. 中华医学超声杂志(电子版), 2020, 17(11): 1114-1120.
[2] 陈晓燕, 王琰. 下肢静脉血栓的超声特征及危险因素分析[J/OL]. 中华危重症医学杂志(电子版), 2022, 15(04): 304-307.
[3] 付曾强, 罗洪, 彭晶晶. 老年乳腺浸润性导管癌超声特征及其与分子分型相关性研究[J/OL]. 中华普外科手术学杂志(电子版), 2023, 17(03): 258-261.
[4] 刘锦程, 王斌, 张雯, 张明周, 刘禹, 叶东樊, 黄赞胜, 邱凌霄, 卿斌, 王创业, 王南博, 王苹, 郭宇航, 周培花, 程秋霞, 徐智. 肺泡灌洗液RASSF1A及SHOX2甲基化联合径向超声特征对肺结节性质鉴别诊断的意义[J/OL]. 中华肺部疾病杂志(电子版), 2024, 17(04): 505-511.
[5] 鄢潇, 胡启明, 黄骁昊. 剖宫产术后腹壁疤痕肌层侵袭性纤维瘤[J/OL]. 中华腔镜外科杂志(电子版), 2025, 18(05): 305-307.
[6] 王曦娅, 尹弘青, 丁伟, 徐滨, 于海源, 马东升, 邵军. 桥本背景下甲状腺乳头状癌多参数分析预测大容量淋巴结转移[J/OL]. 中华临床医师杂志(电子版), 2024, 18(06): 548-554.
阅读次数
全文


摘要


AI


AI小编
你好!我是《中华医学电子期刊资源库》AI小编,有什么可以帮您的吗?