切换至 "中华医学电子期刊资源库"

中华疝和腹壁外科杂志(电子版) ›› 2025, Vol. 19 ›› Issue (06) : 689 -693. doi: 10.3877/cma.j.issn.1674-392X.2025.06.016

论著

闭孔疝13例诊疗分析
邹浩1,2, 郑泽坤1,2, 胡会元1,2, 李妲2, 吴巍2,()   
  1. 1116044 辽宁,大连医科大学
    2225000 江苏,扬州大学附属医院普外科
  • 收稿日期:2023-09-29 出版日期:2025-12-18
  • 通信作者: 吴巍

Diagnosis and treatment of obturator hernia in 13 cases

Hao Zou1,2, Zekun Zheng1,2, Huiyuan Hu1,2, Da Li2, Wei Wu2,()   

  1. 1Dalian Medical University, Dalian 116044, Liaoning Province, China
    2Department of General Surgery, Affiliated Hospital of Yangzhou University, Yangzhou 225000, Jiangsu Province, China
  • Received:2023-09-29 Published:2025-12-18
  • Corresponding author: Wei Wu
引用本文:

邹浩, 郑泽坤, 胡会元, 李妲, 吴巍. 闭孔疝13例诊疗分析[J/OL]. 中华疝和腹壁外科杂志(电子版), 2025, 19(06): 689-693.

Hao Zou, Zekun Zheng, Huiyuan Hu, Da Li, Wei Wu. Diagnosis and treatment of obturator hernia in 13 cases[J/OL]. Chinese Journal of Hernia and Abdominal Wall Surgery(Electronic Edition), 2025, 19(06): 689-693.

目的

探讨闭孔疝的临床特点、诊断方式以及治疗方法,以期为该病的诊治提供参考。

方法

回顾性分析2017年2月至2022年5月,扬州大学附属医院收治并经手术证实的13例闭孔疝患者临床资料。记录患者手术时间,术中出血量、住院时间、随访时间及复发情况。

结果

13例患者均行手术治疗,8例行传统剖腹探查,5例行腹腔镜经腹腹膜前疝修补术。1例术后切口出现感染,1例术后出现肺部感染,对症处理后均痊愈。1例患者因基础性疾病致呼吸衰竭转入重症监护室第2天后死亡,余12例患者痊愈出院。住院时间4~25 d,平均(11.5±5.8)d。治愈出院患者均获随访,随访时间1~63个月,平均(35.3±22.9)个月,无疝复发。

结论

闭孔疝是临床少见疾病,临床表现缺乏特异性,年老体弱的经产妇出现原因不明的小肠梗阻症状应考虑闭孔疝可能;术前行腹盆腔CT检查有助于闭孔疝尽早的诊断;明确诊断后应尽早手术,患者条件允许建议腹腔镜探查并修补,依据术中具体情况,若没有禁忌证,为防止复发,可使用补片以增强修补效果。

Objective

This article analyzed and summarized the clinical characteristics, diagnosis and treatment methods of obturator hernia, in order to provide reference for the diagnosis and treatment of this disease.

Methods

The clinical data of 13 patients with obturator hernia who were admitted to the Affiliated Hospital of Yangzhou University and were confirmed by surgery from February 2017 to May 2022 were retrospectively analyzed. The operation time, intraoperative blood loss, hospital stay, follow-up time and recurrence were recorded.

Results

All 13 patients underwent surgical treatment, 8 underwent traditional laparotomy, and 5 underwent TAPP repair. There was 1 case of postoperative incision infection, 1 case of postoperative pulmonary infection, both recovered after symptomatic treatment. One patient died the next day after being transferred to the ICU due to respiratory failure caused by underlying diseases, and the remaining 12 patients recovered and were discharged. The hospital stays ranged from 4 to 25 days, with an average of (11.5±5.8) days. All patients were cured and discharged, and were followed up for 1 to 63 months with a mean of (35.3±22.9) months. No hernia recurrence was observed during the follow-up period.

Conclusion

Obturator hernia is a rare disease in clinical practice, and its clinical manifestations are not specific. The diagnosis of obturator hernia should be considered in elderly and infirm multiparous women presenting with unexplained symptoms of small bowel obstruction. Preoperative abdominal and pelvic CT examination is helpful for early diagnosis of obturator hernia. Surgery should be performed as soon as possible after a clear diagnosis, and laparoscopic exploration and repair are recommended if the patient's conditions permit. According to the specific circumstances of the operation, if there is no contraindication, in order to prevent recurrence, a mesh can be used to enhance the repair effect.

表1 13例闭孔疝患者术前详细临床信息
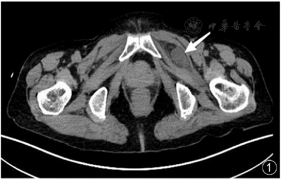
图1 耻骨肌和闭孔外肌之间嵌顿肠管(箭头所指)
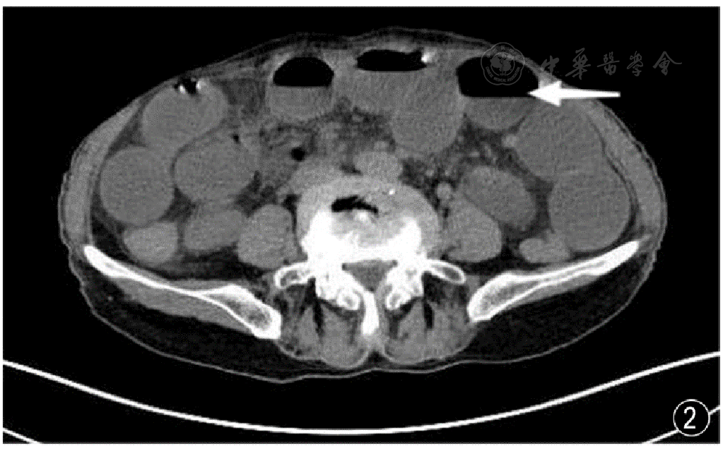
图2 腹腔肠管积气、积液、气液平(箭头所指)
表2 13例闭孔疝患者手术及术后资料
[1]
Schizas D, Apostolou K, Hasemaki N, et al. Obturator hernias: a systematic review of the literature[J]. Hernia, 2021, 25(1): 193-204.
[2]
Park J. Obturator hernia: clinical analysis of 11 patients and review of the literature[J]. Medicine(Baltimore), 2020, 99(34): e21701.
[3]
Nakagawa H, Asakura T, Hamaguchi S. Obturator hernia[J]. CMAJ, 2022, 194(2): E50.
[4]
Wada Y, Ohtsuka H, Adachi K. Laparoscopic views of obturator hernia[J]. J Gastrointest Surg, 2015, 19(10): 1925-1926.
[5]
胡仁旺, 李昂, 曹志新. 闭孔疝八例诊治体会[J/OL]. 中华疝和腹壁外科杂志(电子版), 2020, 14(6): 609-612.
[6]
Palacios-Zertuche JT, Guerrero-Hernández AJ, Salinas-Domínguez R, et al. Case report: occlusion and intestinal necrosis by obturator hernia[J]. Cir Cir, 2017, 85 Suppl 1: 58-61.
[7]
Ayoub K, Mahli N, Dabbagh MF, et al. Left sided Richter type obturator hernia causing intestinal obstruction: a case report[J]. Ann Med Surg(Lond), 2018, 36: 1-4.
[8]
Meziane MA, Fishman EK, Siegelman SS. Computed tomographic diagnosis of obturator foramen hernia[J]. Gastrointest Radiol, 1983, 8(4): 375-377.
[9]
李东升, 汤劲松, 屠义梅, 等. 腹部CT在诊断嵌顿性闭孔疝中的应用[J]. 中国现代普通外科进展, 2021, 24(10): 813-814.
[10]
胡福长, 何丽娉, 徐颖. 闭孔疝的超声诊断价值[J]. 中国超声医学杂志, 2016, 32(1): 91-93.
[11]
Droukas DD, Zoland MP, Klein DA. Radiographic and surgical findings of type|obturator hernias in patients with refractory groin pain[J]. Clin Imaging, 2019, 55: 35-40.
[12]
Funakoshi H. Point of care ultrasound for diagnosis of obturator hernia[J]. Acute Med Surg, 2020, 7(1): e547.
[13]
Hayama S, Ohtaka K, Takahashi Y, et al. Laparoscopic reduction and repair for incarcerated obturator hernia: comparison with open surgery[J]. Hernia, 2015, 19(5): 809-814.
[14]
Liu J, Zhu Y, Shen Y, et al. The feasibility of laparoscopic management of incarcerated obturator hernia[J]. Surg Endosc, 2017, 31(2): 656-660.
[15]
Jung S, Lee JH, Chong JU, et al. Prevention and management of intraoperative complication during single incision laparoscopic totally extraperitoneal repair[J]. J Minim Invasive Surg, 2022, 25(1): 36-39.
[16]
Sahu KK, Sherif AA, Mishra A, et al. Intestinal obstruction secondary to ventral hernia[J]. Balkan Med J, 2019, 36(3): 198.
[17]
Kohga A, Kawabe A, Okumura T, et al. Laparoscopic repair is a treatment of choice for selected patients with incarcerated obturator hernia[J]. Hernia. 2018 Oct;22(5): 887-895.
[18]
杨永光, 陈伟峰, 邓春梅, 等. 闭孔疝临床诊疗分析:附5例报告[J]. 中国普通外科杂志, 2021, 30(10): 1197-1202.
[19]
Mindaye ET, Giduma D, Tufa TH. Obturator hernia: case report[J]. J Surg Case Rep, 2020, 2020(10): rjaa389.
[20]
Holm MA, Fonnes S, Andresen K, et al. Laparotomy with suture repair is the most common treatment for obturator hernia: a scoping review[J]. Langenbecks Arch Surg, 2021, 406(6): 1733-1738.
[21]
陈昕, 杨恒颖, 徐露, 等. 急诊腹股沟疝的诊断与治疗分析[J]. 中华消化外科杂志, 2021, 20(7): 799-804.
[22]
Sawayama H, Kanemitsu K, Okuma T, et al. Safety of polypropylene mesh for incarcerated groin and obturator hernias: a retrospective study of 110 patients[J]. Hernia, 2014, 18(3): 399-406.
[1] 姚垚, 杨小红, 赵胜, 高艳多, 郭凯莉. 胆道闭锁产前及生后超声诊断分析[J/OL]. 中华医学超声杂志(电子版), 2025, 22(10): 962-968.
[2] 杨明, 许彩娜, 张宁, 王晓娜, 贾坤, 宋伟, 李丽, 薛红元. 2023—2024年度河北省甲状腺癌超声诊断符合率现状分析[J/OL]. 中华医学超声杂志(电子版), 2025, 22(09): 846-849.
[3] 汤伟伟, 徐丽娟, 李金, 绳兰兰. 下颌下腺分泌性癌1例并文献复习[J/OL]. 中华口腔医学研究杂志(电子版), 2025, 19(06): 405-409.
[4] 毛俊, 蔡兆伦, 尹晓南, 沈朝勇, 张波. 影像组学预测模型在胃肠间质瘤诊断及预后中的研究进展[J/OL]. 中华普通外科学文献(电子版), 2025, 19(06): 421-425.
[5] 薛兆强, 袁寅. 双镜联合保功能胃癌根治术治疗早期近端胃癌的临床研究[J/OL]. 中华普外科手术学杂志(电子版), 2025, 19(06): 628-632.
[6] 许梓锋, 黄展森, 狄金明. 胡桃夹综合征诊治进展[J/OL]. 中华腔镜泌尿外科杂志(电子版), 2025, 19(06): 784-791.
[7] 胡博文, 胡亚兰, 梁辉. 前列腺癌早期筛查的常见方法及最新研究进展[J/OL]. 中华腔镜泌尿外科杂志(电子版), 2025, 19(06): 800-808.
[8] 陈双, 李英儒. 单孔腹腔镜腹股沟疝经腹腹膜前修补术的技术与方法[J/OL]. 中华疝和腹壁外科杂志(电子版), 2025, 19(06): 629-632.
[9] 王宏, 董国强, 刘韦鋆, 张楠. 布比卡因脂质体用于Lichtenstein术后镇痛效果及安全性分析:一项单中心随机对照试验[J/OL]. 中华疝和腹壁外科杂志(电子版), 2025, 19(06): 645-651.
[10] 彭泉, 陈亮, 于华杰, 郑玉, 陈旭, 张明金. 腔镜下不同入路腹膜外补片修补治疗腰疝的疗效分析[J/OL]. 中华疝和腹壁外科杂志(电子版), 2025, 19(06): 658-662.
[11] 李峻峰, 李世红, 聂攀, 刘科豪, 侯康. 腹腔镜下经腹腹膜前入路治疗脐疝12例病例系列研究[J/OL]. 中华疝和腹壁外科杂志(电子版), 2025, 19(06): 668-673.
[12] 钟泽坤, 陈明, 林满洲, 陈焕德. 经弓状线下缘入路单孔腹腔镜完全腹膜外疝修补术治疗腹股沟疝的临床疗效[J/OL]. 中华疝和腹壁外科杂志(电子版), 2025, 19(06): 679-683.
[13] 吴刚, 严燃星, 严鑫, 阎婧, 何跃明, 朱倩. 基于血清和组织外泌体多组学分析筛选胰腺癌诊断和预后标志物[J/OL]. 中华肝脏外科手术学电子杂志, 2025, 14(06): 962-972.
[14] 延珍妮, 张修礼. 消化内镜机器人研究现状及发展展望[J/OL]. 中华消化病与影像杂志(电子版), 2025, 15(06): 565-569.
[15] 宁雯琪, 张永利. 脓毒症心肌病的研究进展:基础、临床与展望[J/OL]. 中华临床医师杂志(电子版), 2025, 19(06): 461-466.
阅读次数
全文


摘要


AI


AI小编
你好!我是《中华医学电子期刊资源库》AI小编,有什么可以帮您的吗?