切换至 "中华医学电子期刊资源库"

中华疝和腹壁外科杂志(电子版) ›› 2025, Vol. 19 ›› Issue (06) : 722 -724. doi: 10.3877/cma.j.issn.1674-392X.2025.06.022

临床病例分析

未合并隐睾的小儿半月线疝一例并文献复习
朱少伟()   
  1. 212003 江苏,镇江市妇幼保健院小儿外科
  • 收稿日期:2023-08-21 出版日期:2025-12-18
  • 通信作者: 朱少伟

Spigelian hernia without cryptorchidism in a child: a case report and literature review

Shaowei Zhu()   

  1. Department of Pediatric Surgery, Zhenjiang Maternal and Child Health Care Hospital, Zhenjiang 212003, Jiangsu Province, China
  • Received:2023-08-21 Published:2025-12-18
  • Corresponding author: Shaowei Zhu
引用本文:

朱少伟. 未合并隐睾的小儿半月线疝一例并文献复习[J/OL]. 中华疝和腹壁外科杂志(电子版), 2025, 19(06): 722-724.

Shaowei Zhu. Spigelian hernia without cryptorchidism in a child: a case report and literature review[J/OL]. Chinese Journal of Hernia and Abdominal Wall Surgery(Electronic Edition), 2025, 19(06): 722-724.

报道1例2岁11个月未合并隐睾的半月线疝患儿的诊疗过程。患儿曾误诊为腹股沟斜疝并行腹腔镜手术,后经开放手术确诊为半月线疝,行疝囊高位结扎及修补术。术后恢复良好,随访7个月无复发。结合文献探讨小儿半月线疝的临床特点及诊治要点。

This paper reports the diagnosis and treatment of a 2-year-and-11-month-old boy with Spigelian hernia without cryptorchidism. The child was initially misdiagnosed with indirect inguinal hernia and underwent laparoscopic surgery. The diagnosis of Spigelian hernia was later confirmed by open surgery, during which high ligation and repair of the hernia sac were performed. The patient recovered well with no recurrence during 7 months of follow-up. The clinical characteristics and key points in diagnosis and treatment of pediatric Spigelian hernia are discussed in combination with relevant literature.

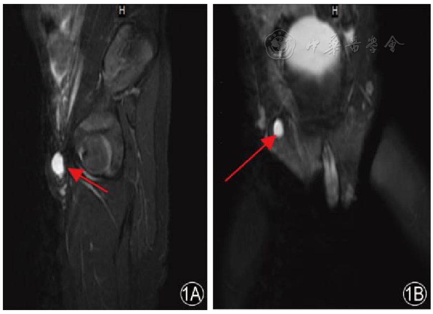
图1 半月线疝患儿腹部MRI检查注:箭头所示为皮下囊性包块,大小约1.2 cm×1.3 cm×1.6 cm;1A矢状位,1B冠状位。
图2 术中见半月线处突出的疝囊
[1]
Hanzalova I, Schäfer M, Demartines N, et al. Spigelian hernia: current approaches to surgical treatment-a review[J]. Hernia, 2022, 26(6): 1427-1433.
[2]
Jones BC, Hudson JM. The syndrome of spigelian hernia and cryptorchidism: a review of pediatric literature[J]. Pediatr Surg, 2015, 50: 325-330.
[3]
Spinelli Claudio, Strambi Silvia, Pucci Valentina, et al. Spigelian hernia in a 14-year-old girl: a case report and review of the literature[J]. European J Pediatr Surg Rep, 2014, 2(1): 58-62.
[4]
Gonuguntla A, Thotan SP, Pai N,et al. Congenital Spigelian Hernia With Ipsilateral Ectopic Testis[J]. Ochsner J, 2022, 22(3): 277-280.
[5]
Patoulias I, Rahmani E, Patoulias D. Congenital Spigelian hernia and ipsilateral cryptorchidism: a new syndrome?[J]. Folia Med Cracov, 2019, 59(4): 71-78.
[6]
Alaqeel SM, Hakeem AH, Almaary JO. Testicular Ectopia in a Child's Anterior Abdominal Wall: A Case Report and Literature Review[J]. Am J Case Rep, 2020, 21: e927495.
[7]
Sengar M, Mohta A, Neogi S, et al. Spigelian hernia in children: low versus classical[J]. J Pediatr Surg, 2018, 53(11): 2346-2348.
[8]
Taha A, Algethami NE, AlQurashi R. Outcome of Orchidopexy in Spigelian Hernia-Undescended Testis Syndrome[J]. Cureus, 2021, 13(3): e13714.
[9]
Deshmukh SS, Kothari PR, Gupta AR, et al. Total laparoscopic repair of Spigelian hernia with undescended testis [J]. J Minim Access Surg, 2019, 15(3): 265-267.
[10]
Kropilak AD, Sawaya DE. Traumatic Spigelian Hernia in a Pediatric Patient Following a Bicycle Injury[J]. Am Surg, 2022, 88(8): 1933-1935.
[11]
Spinelli C, Strambi S, Pucci V, et al. Spigelian hernia in a 14-year-old girl: a case report and review of the literature[J]. European J Pediatr Surg Rep, 2014, 2(1): 58-62.
[12]
Vega-Mata N, Vázquez-Estevez JJ, Montalvo-Ávalos C, et al. Abordaje laparoscopico de una hernia de Spiegel en edad pediatrica. Revision de la literature [J]. Cir Cir, 2019, 87(1): 101-105.
[13]
Alaqeel SM, Hakeem AH, Almaary JO. Testicular Ectopia in a Child's Anterior Abdominal Wall: A Case Report and Literature Review [J]. Am J Case Rep, 2020, 21: e927495.
[14]
Thakur SK, Gupta S, Goel S. Traumatic spigelian hernia due to handlebar injury in a child: a case report and review of literature [J]. Indian J Surg, 2013, 75(Suppl 1): 404-406.
[15]
孙惠军. 半月线疝[J/OL]. 中华疝和腹壁外科杂志(电子版), 2013, 7(4): 312-313.
[16]
高燕, 金琳. 彩色多普勒超声在腹外疝鉴别诊断中的研究[J/OL]. 中华疝和腹壁外科杂志(电子版), 2021, 15(1): 40-43.
[17]
陆景锋, 苏畅, 肖立俊, 等. 腹腔镜腹腔内补片置入术在半月线疝修补中的应用[J/OL]. 中华疝和腹壁外科杂志(电子版), 2018, 12(3): 204-206.
[18]
詹江华. 儿童罕见腹外疝的诊断与处理原则[J]. 天津医药, 2011, 39(9): 777-778.
[1] 姚垚, 杨小红, 赵胜, 高艳多, 郭凯莉. 胆道闭锁产前及生后超声诊断分析[J/OL]. 中华医学超声杂志(电子版), 2025, 22(10): 962-968.
[2] 杨明, 许彩娜, 张宁, 王晓娜, 贾坤, 宋伟, 李丽, 薛红元. 2023—2024年度河北省甲状腺癌超声诊断符合率现状分析[J/OL]. 中华医学超声杂志(电子版), 2025, 22(09): 846-849.
[3] 刘晴晴, 俞劲, 徐玮泽, 张志伟, 潘晓华, 舒强, 叶菁菁. OBICnet图像分类模型在小儿先天性心脏病超声筛查中的应用价值[J/OL]. 中华医学超声杂志(电子版), 2025, 22(08): 754-760.
[4] 杨一辰, 廖习成, 马玥麟, 李迎, 王祥柱. 基于旁路的复杂器械分离经根管取出策略探索与疗效评价[J/OL]. 中华口腔医学研究杂志(电子版), 2025, 19(06): 369-377.
[5] 胡博文, 胡亚兰, 梁辉. 前列腺癌早期筛查的常见方法及最新研究进展[J/OL]. 中华腔镜泌尿外科杂志(电子版), 2025, 19(06): 800-808.
[6] 蔡建珊, 陈进宏. 同时性结直肠癌肝转移手术策略[J/OL]. 中华肝脏外科手术学电子杂志, 2025, 14(06): 813-821.
[7] 高成立, 何凯明, 冯啸, 曾凯宁, 唐晖, 姚嘉, 杨卿, 易慧敏, 易述红, 杨扬, 傅斌生. 肝移植治疗儿童遗传代谢性肝病安全性及疗效:单中心44例分析[J/OL]. 中华肝脏外科手术学电子杂志, 2025, 14(06): 844-851.
[8] 黄少坚, 梁汉标, 李清平, 唐善华, 李青妍, 李芷西, 黄灿, 王小振, 陈灿辉, 王恺, 李川江. 基于影像组学和临床特征构建肝癌新辅助/转化治疗后病理学完全缓解预测模型[J/OL]. 中华肝脏外科手术学电子杂志, 2025, 14(06): 860-867.
[9] 姜宇丰, 张睿, 闵红巍. 全关节置换术后异位骨化的研究进展[J/OL]. 中华临床医师杂志(电子版), 2025, 19(07): 526-531.
[10] 王春茂, 韩鸣, 王子彤. 局限期小细胞肺癌新辅助治疗后完全病理学缓解五例[J/OL]. 中华临床医师杂志(电子版), 2025, 19(07): 550-554.
[11] 周继升, 李丹, 米琳, 韩江莉. 急性冠脉综合征合并对比剂禁忌患者血管内超声指导零对比剂冠状动脉介入治疗的安全性和有效性[J/OL]. 中华临床医师杂志(电子版), 2025, 19(06): 408-413.
[12] 姜彤彤, 戎萍, 马融, 付乾芳, 张亚同, 赵书艺, 刘晖, 马榕, 李悦, 李瑞本. 抽动障碍儿童呼吸道感染后的临床特征及抽动症状加重的危险因素分析[J/OL]. 中华临床医师杂志(电子版), 2025, 19(06): 426-432.
[13] 宁雯琪, 张永利. 脓毒症心肌病的研究进展:基础、临床与展望[J/OL]. 中华临床医师杂志(电子版), 2025, 19(06): 461-466.
[14] 樊子君, 王怡婷, 胡端敏, 任怡琳, 盛颖玥, 刘天浩, 吴铁龙, 戴圆圆, 薛育政. 内镜下胃壁注射A型肉毒毒素减重的研究现状[J/OL]. 中华临床医师杂志(电子版), 2025, 19(06): 467-470.
[15] 侯雨函, 姜福金, 王苏贵. 膀胱癌免疫治疗的研究进展[J/OL]. 中华临床医师杂志(电子版), 2025, 19(06): 471-475.
阅读次数
全文


摘要


AI


AI小编
你好!我是《中华医学电子期刊资源库》AI小编,有什么可以帮您的吗?